Bilder der Dünndarmschleimhaut
Lupenmikroskopisches Bild einer normlen Dünndarmschleimhaut

Lupenmikroskopisches Bild einer normalen Dünndarmschleimhaut bei ca. 20-facher Vergrößerung.
Die zarten blattförmigen Zoten erscheinen von dem Oberflächenephithelsaum girlandenförmig
eingefasst. Unterhalb der Schicht der Dünndarmenterozyten sind feinste Blutgefäße (die sog.
Kapillaren) zu erkennen.
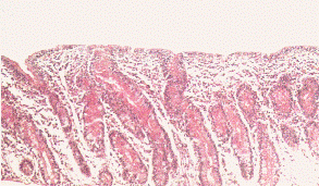
Gewebschnitt durch eine normale Dünndarmschleimhaut

Gewebeschnitt durch eine normale Dünndarmschleimhaut. Ca. 60-fache Vergrößerung. Der
Enterozytensaum grenzt sich deutlich vom übrigen Zotengewebe ab.
Lupenmikroskopisches Bild einer flachen, zotenlosen Dünndarmschleimhaut

Lupenmikroskopisches Bild einer flachen, zotenlosen Dünndarmschleimhaut eines zöliakiekranken
Kindes bei ca. 30-facher Vergrößerung. Die porenähnlichen Vertiefungen entsprechen dem entblößten Zugängen zu den Krypten.
Gewebeschnitt durch eine flache, zotenlose Dünndarmschleimhaut

Gewebeschnitt durch eine flache, zotenlose Dünndarmschleimhaut. Neben der Zotenabflachung sind
der schmale Enterozytensaum, die Kryptenvertiefungen und die starke Vermehrung der Entzündungen
zu erkennen.
Lupenmikroskopisches Bild einer partiellen Zottenathrophie

Lupenmikroskopisches Bild einer partiellen Zotenatrophie bei ca. 30-facher Vergrößerung. Hier
sind breite, verklumpte und teilweise hirnwindungsartige verformte Zoten zu erkennen.
Gewebeschnitt durch eine partiell atrophische Dünndarmschleimhaut

Gewebeschnitt durch eine partiell atrophische Dünndarmschleimhaut. Ca. 60-fache Vergrößerung.
Ähnliche Gewebeveränderungen wie in “Gewebeschnitt durch eine flache, zotenlose
Dünndarmschleimhaut”.
Quelle
Bilder und Erklärender Text entnommen aus: “DZG medizin - Die Zöliakie & Sprue”, erschienen von
der Zöliakie Gesellschaft e.V.
Mit freundlicher Genehmigung zur Veröffentlichung auf meiner Seite.